Technical info

Technology

Development of cancer therapeutics based on sodium chlorite

Application of MA-T® system in cancer

MA-T® is an abbreviation of Matching Transformation System® and is an innovative technology to control oxidation. By generating the requisite amount of reactive species (aqueous radicals) from chlorite ions when required, it enables the inactivation of viruses and disinfection of bacteria (see https://matjapan.jp/mat/ for more information). HOIST Corp. is aiming to apply the MA-T® system to medical applications and is developing anti-cancer drugs for epithelial cancers.

Cancerous cells generally have an acidic microenvironment compared with non-cancerous cells. Chlorite ions generate radicals in acidic environments and attack the cancerous cells. When the cancer cells are removed, the acidic microenvironment is also removed, and radicalization is also terminated. This has shown to be a safe and efficient mechanism in many experiments. In basic research using bladder cell lines, it has been demonstrated that sodium chlorite inhibits the proliferation of bladder cancer cells (from former Prof. Kazutake Tsujikawa’s research group, Graduate School of Pharmaceutical Sciences, The University of Osaka).

Mechanism of antitumor effect

Anti-tumour effect of HM-001

The anti-tumour effect on cancer tissues have been demonstrated in experiments using a bladder cancer patient-derived xenograft (PDX) model. It has also been demonstrated in efficacy experiments using bladder cancer intravesical transplantation animal model using established bladder cancer cells.

Patient derived bladder cancer tissue from PDX were extracted and cut into pieces. This was exposed to HM-001 on a petri dish for 2 hours, re-implanted to the animal and the speed of tumour growth was measured. The effect of HM-001 suppressing tumour growth were observed.
(800, 3200 ppm are concentrations due to be administered to patients in the Phase I clinical study).

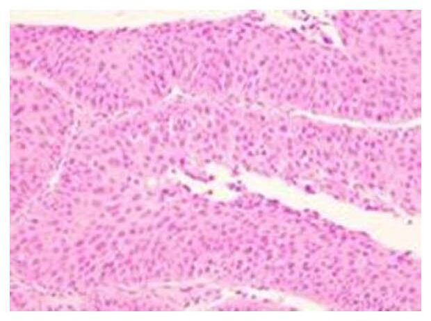
Patient-derived bladder cancer tissue images
Patient-derived bladder cancer tissue images

Actual administration of the study drug into the patient was emulated in this experiment. Using the bladder cancer cells transplanted into animal bladder, tumour suppression effects were observed in HM-001 concentrations above 800ppm. Additionally, observations were made that there is no significant effect to normal cells.

Tumor growth inhibition rate

Technology

ALKBH inhibitors

Developing innovative cancer therapeutics with ALKBH inhibitors/epitranscriptomics drug discovery

Epitranscriptome

Methyltransferases and demethylases that control the methylation of RNA have been discovered, similar to DNA. As a result of this discovery, a field called epitranscriptomics have been created, which studies the regulation of gene and protein expression by epigenetic modifications of RNA. To date, RNAs have been found to undergo a more diverse modification compared with DNA, and more than 170 types of post-translational modifications have been identified (the analysis of RNA modifications is called the epitranscriptome). Since modifications change the charge of RNA bases and the properties of base pairs, the epitranscriptome, along with the epigenome, is an important gene expression regulatory mechanism in cells.

ALKBH

Some RNA regulation based on RNA methylation is relevant to cancer biology. ALKBH is a group of enzymes that demethylate specific methylated RNAs and are highly expressed in certain cancer cells.

ALKBH

Concept of ALKBH inhibitor development

It is inferred that some of the RNA demethylated by ALKBH work preferentially in cancer cells. We create anti-cancer drugs with a novel mechanism of action by inhibiting ALKBH. Currently, drug efficacy has been obtained in animal models. We will continue to optimize the compound from the toxicity and pharmacokinetics perspectives.

Concept of ALKBH inhibitor development

Technology

PDC/PDX

Drug Discovery Platform Technology: PDC/PDX

Construction and utilization of cell and animal models which could predict the efficacy and toxicology in humans.
HOIST Corp. also has strengths in the study of orthotopic transplantation of PDC.

PDC/PDX

Utilization of specimens extracted from patient samples (cancer tissue/cells)
Utilization of specimens (cancer tissues and cells) extracted from patients

Evaluations with the PDC/PDX models have been shown to have higher predictability compared with the evaluations with established cancer cell lines, which have so far been the mainstream. Researchers are increasingly using PDC/PDX models in research.

HOIST Corp.’s PDC/PDX utilizes primary to near-primary cells/tissues (within 3 passages) and has a wealth of patient information, allowing for the construction of a more predictable evaluation system.

We are happy to enter into collaborative research arrangements utilizing our proprietary PDC/PDX technology based on the requests from our client organisation. We are able to analyse for gene mutations, drug resistance, or create orthotopic transplantation models to support your drug discovery efforts.

Business Synergies

PDC/PDX Business Opportunities

In-house Utilization

Increase the success rate of in-house projects

HM-001

Bladder cancer, peritoneal dissemination, etc.

ALKBH Inhibitor

Pancreatic cancer, glioblastoma, etc.

External Drug
Discovery Support

Collaborative research using PDC panel
Collaborative research using PDX mouse